

Relato de Caso
Carcinoma espinocelular microinvasivo em edema de Reinke
Espinocelular microinvasive carcinoma in Reinke's oedema
Autores:
Regina Helena Garcia Martins (Professora Livre-Docente da Disciplina de Otorrinolaringologia da Faculdade de Medicina de Botucatu - Unesp.) Professora Adjunta da Disciplina de Otorrinolaringologia da Universidade Estadual Paulista-Unesp, Campus de Botucatu
Daniel Portilho de Melo (Médico Residente da Disciplina de Otorrinolaringologia) Médico Residente da Disciplina de Otorrinolaringologia - Unesp Botucatu
Maria Aparecida Custódio Domingues (Professora Doutora) Professora Doutora do Departamento de Patologia da Faculdade de Medicina de Botucatu - Unesp
Alexandre Todorovic Fabro (Médico Residente) Médico Residente do Departamento de Patologia da Faculdade de Medicina de Botucatu (UNESP).
Norimar Hernades Dias (Médico e Pós-graduando (Nível Doutorado) ) Médico e Pós-graduando (Nível Doutorado) da Disciplina de Otorrinolaringologia da Faculdade de Medicina de Botucatu (UNESP)
Palavras-Chave
edema de Reinke, laringe, carcinoma
Resumo
Keywords
Reinke's oedema , larynx, carcinoma
Abstract
Instituição: Universidade Estatudal Paulista Júlio de Mesquita Filho, Faculadade de Medicina de Botuvcatu - Unesp
Suporte Financeiro:
Introdução
Edema de Reinke caracteriza-se por edema generalizado e crônico das pregas vocais, uni ou bilateral, decorrente do depósito de material gelatinoso nas camadas superficiais da lâmina própria, região denominada de espaço de Reinke1.
O fator etiopatogênico que mais contribui para o desenvolvimento do edema de Reinke é o tabagismo, embora alguns autores tenham salientado também a participação de outros fatores como o abuso vocal e a doença do refluxo gastroesofágico 2. O edema de Reinke é enquadrado nas lesões benignas da laringe. Remacle et al3 , em estudo histológico, destacaram as alterações mais marcantes dessa lesão, como a hiperplasia epitelial, o espessamento da membrana basal, o edema no córion, a congestão dos vasos e a fibrose, sem destaque para as displasias epiteliais.
Entretanto, alguns autores têm salientado a presença de diferentes graus de displasias, bem como a transformação maligna do edema de Reinke, uma vez que o tabagismo tem importante participação na gênese dessas lesões. Pastuszek et al.4 em análise ultraestrutural de 10 casos de edema de Reinke, observaram edema subepitelial (resultante, provavelmente, das alterações da permeabilidade dos vasos da lâmina própria), perda das junções intercelulares (principalmente nas células da camada basal), leucoplasia e displasias epiteliais leves. Nielsen et al5 destacaram o aspecto benigno da lesão ao realizaram análise histológica em 120 casos de edema de Reinke, evidenciando apenas displasias epiteliais leves. Mais recentemente, Marcotullio et al 6 realizaram estudo clínico e epidemiológico de 121 casos de edema de Reinke, detectando três casos de displasia grave ou carcinoma in situ, passando a considerar a lesão como pré-neoplásica.
Relato do caso
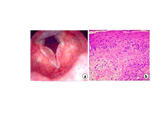
Paciente A.M.F., 51 anos, brasileira, sexo feminino, compareceu em consulta ambulatorial queixando-se de disfonia persistente, de evolução lentamente progressiva há três anos. Referia ser tabagista desde a juventude (32 anos/maço) e apresentava também sintomas de pigarro e queimação retroesternal. Estava em uso de omeprazol 40mg/dia e motilium há dois meses por diagnóstico de doença do refluxo gastroesofágico. A paciente apresentava voz rouca, áspera, grave e virilizada. Ao exame de videolaringoscopia, observou-se edema de Reinke volumoso, bilateral (Figura 1a), sendo que, em prega vocal direita, havia pequena placa leucoplásica na borda livre da franja edematosa.
A paciente foi submetida a microfonocirurgia, sendo que a análise hiostopatológica evidenciou edema de Reinke e presença de carcinoma espinocelular microinvasivo (Figura 1b), com margens cirúrgicas livres do comprometimento neoplásico. A paciente evoluiu com melhora progressiva das qualidades vocais, sendo orientada e estimulada a abandonar o vício do tabagismo e a realizar acompanhamento ambulatorial e endoscópico em nosso serviço.
Discussão
O tabagismo está envolvido tanto na patogênese do carcinoma da laringe bem como no edema de Reinke, daí a preocupação da possível transformação maligna desta última lesão, exigindo análise minuciosa histopatológica para a detecção das diplasias de diferentes graus. Embora o edema de Reinke seja considerado lesão benigna, e classificado por Remacle et al.3, como lesão exsudativa do espaço de Reinke, juntamente com os nódulos e pólipos vocais, alguns autores têm constatado nessas lesões, displasias, principalmente leves e moderadas e orientado quanto a importância do seguimento endoscópico desses pacientes, principalmente daqueles que não abandonam o hábito de fumar após a cirurgia5. Marcotullio et al6. ao constatarem três casos de carcinoma in situ, reforçam a hipótese que pacientes portadores de edema de Reinke podem ter risco aumentado de desenvolverem carcinoma espinocelular de laringe, principalmente em tabagistas crônicos e inveterados.
No carcinoma microinvasivo apresentado neste caso clínico, como consta na própria definição desse tipo de tumor, havia invasão superficial da membrana basal, sem comprometimento da lâmina própria, ao contrário do carcinoma in situ, no qual a membrana basal é poupada da invasão tumoral. A presença de placa leucoplásica sobre a lesão, detectada nos exames de videolaringoscopia, nos alerta para a possibilidade de transformação maligna do edema de Reinke.
Conclusão
O caso clínico apresentado reforça a hipótese do edema de Reinke ser considerado lesão pré-neoplásica, principalmente em pacientes fumantes inveterados e na presença de placa de leucoplasia sobre a lesão.
Referências bibliografias
1. Garcia Alvarez, C.D.; Campos Banales, M.E.; Lopes Campos, D.; Rivero, J.; Perez Pinero, B.; Lopes Aguado, D. Polyps, nodules and Reinke edema. An epidemiological and histopathological study. Acta Otolaryngol Esp 1999;50:443-7.
2. Koufman, J. A.; Amin, M.R.; Panetti, M. Prevalence of reflux in 113 consecutive patients with laryngeal and voice disorders. Otolaryngol Head Neck Surg 2000; 123:385-88.
3. Remacle, M.; Degols, J.C.;
4. Pastuszek, P.; Krecicki,T.; Zalesska-Krecicka, M.; Jelen, M.; Rak, J.; Krajewska, B. Histological and electron microscopic investigation of Reinke's edema. Pol J Pathol 2003;54: 61-4.
5. Nielsen, V.M.; Hojslet, P.E.; Palvio, D. J.Laryngol Otol 1986; 100: 1159-62.
6. Marcotullio, D.; Magliulo, G.; Pezone, T. Reinke's and risk factors: clinical and histopathologic aspects. Am J Otolaryngol 2002; 23:81- 4.
Figura 1.

Em a - exame endoscópico de edema de Reinke bilateral. Em b - carcinoma espinocelular microinvasivo, infiltrando a membrana basal (HE-40X- microsocpia de luz).